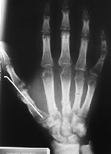
Schiacciamento 2° e 3° dito, mano con fratture multiple

“Mano negativa”
Paziente giunto all’osservazione clinica dopo alcuni giorni di trattamento eseguito in urgenza.

Tutore statico volare lungo di polso con 1° raggio incluso.

Stecche di immobilizzazione aggiuntive dei raggi digitali.
Applicazione precoce di azione dinamica in estensione con stecche di Levame, prima della rimozione dei fili di Kierschner.
Ciò consente il ripristino del movimento in estensione a livello delle MF ( estensione attiva impedita dai fili di K!)
e la flessione attiva digitale contro la modica resistenza delle lame con effetto sulla risoluzione dell’edema.

Con un dinamometro si può calcolare la forza esercitata dalle lame di Levame.

Alla rimozione dei fili di K. si segnala una rigidità in estensione del 2° e 3° dito da effetto tenodesi ( aderenza apparato estensore )
si applica una azione dinamica in flessione sulla IFP del 2° e 3° dito
Sostituzione della lama statica con lama dinamica per iniziare la mobilizzazione attiva, contro resistenza, del polso.
Flessione passiva. Estensione attiva contro resistenza.

Estensione passiva. Flessione attiva contro resistenza. Rxc intermedio.
Risultato clinico intermedio. Azione statica progressiva in estensione sulla 3^ MF.

Risultato radiografico a distanza.
Risultato clinico a distanza.

