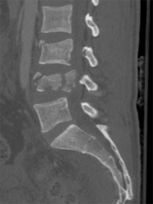
Frattura vertebrale
Acquista subito il prodotto che fa per te ! Clicca sul Link qui sotto :
https://www.ortopediaospedale.it/shop/categoria-prodotto/tronco/busti-e-corsetti-rigidi/
Nessun prodotto nel carrello.
Acquista subito il prodotto che fa per te ! Clicca sul Link qui sotto :
https://www.ortopediaospedale.it/shop/categoria-prodotto/tronco/busti-e-corsetti-rigidi/

